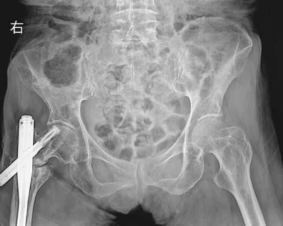
患者化奶奶年近八旬,十二年前因右股骨转子间骨折术后始终未能脱离拐杖,行走困难。近日不慎摔倒导致右侧股骨干再次骨折,且与旧内固定物相互交织,病情极为复杂棘手。面对这一高难度挑战,周口人合医院骨三科在孙杰院长的亲自带领下,迅速启动多学科会诊机制,精准制定了“微创取出原内固定+同期髓内钉复位固定”的一体化手术方案。


微创手术创伤小恢复快
手术由骨三科团队精心实施,以微创为核心,在精准操作下巧妙处理了新旧伤情,极大降低了手术创伤。术后,科室医护团队全程精细管理,结合系统化、个性化的康复方案,循序渐进指导功能锻炼。在医疗技术与人文关怀的双重护航下,化奶奶的骨折顺利愈合,肢体功能得到显著恢复,最终成功放下了依赖十二年的拐杖,实现了独立行走的夙愿。



术前

术后
出院五个月后,患者家属专程送来锦旗,以此表达对周口人合医院骨三科团队精湛医术与暖心服务的诚挚谢意。这面锦旗,不仅承载着患者与家属的感激,更是对科室在复杂创伤与翻修手术领域专业能力的高度认可。周口人合医院骨三科,以匠心守护骨骼健康,用仁心助力每一位患者重获行走的力量与尊严。


科室简介

骨三科(创伤与手足显微外科)现开放床位50张,以诊治手、足创伤及四肢、关节、骨盆骨折等疾病为科室特色,尤其在骨科微创方面积累了大量的成功经验。
近年来,针对复杂骨盆髋臼骨折、关节内骨折、四肢多段粉碎性骨折、大面积软组织缺损、骨折延期愈合不愈合、四肢畸形、断指(肢)再植、拇指再造等疾病取得了满意的治疗效果。目前,孙杰院长在我市率先开展的“动静脉造瘘术”为肾衰竭透析患者开通生命通道,累计已超万例,享誉豫东,得到社会各界广泛认可。


