近日,周口人合医院胸痛中心成功救治一名急性胸痛患者。入院后冠脉造影初步判断狭窄“不太严重”,但团队凭借经验和临床表现,立即启用血管内超声(IVUS)再精准探查,结果发现一处实际狭窄高达87%的“隐形炸弹”,风险极高。
明确诊断后,我院导管室团队为患者实施药物球囊扩张术,撑开血管并释放药物后,球囊完整撤出,体内不遗留任何异物,患者胸痛症状即刻消失。


快速开通闭塞血管并实施药物球囊扩张成形术

启用血管内超声(IVUS)进行精准探查

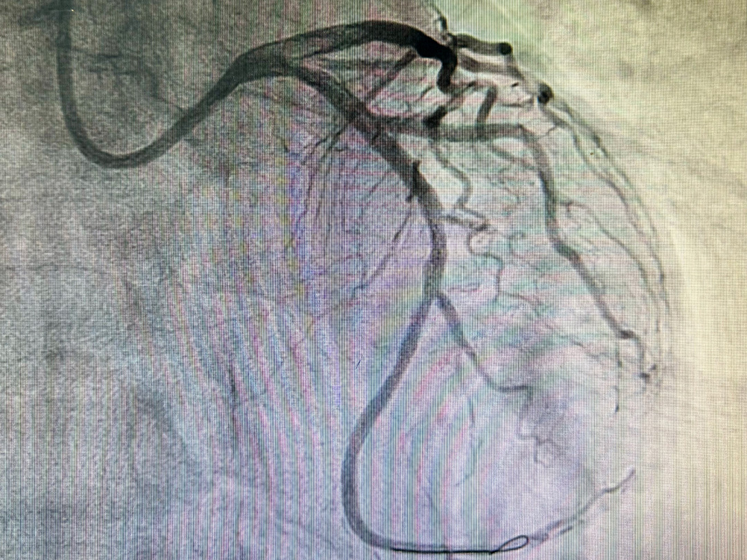
术前

术后
该案例体现了中心两大核心优势:一是凭借IVUS等先进设备实现精准诊断,洞察隐患;二是熟练应用药物球囊等前沿技术,提供个体化治疗方案。 周口人合医院胸痛中心以精准技术与高度负责的态度,守护患者心脏健康。


