近日,周口人合医院骨三科团队在孙杰院长的带领下,成功完成首例尺骨粉碎性骨折闭合复位经皮髓内钉内固定术。该手术的成功开展,标志着我院骨科在微创治疗领域取得又一突破性进展,也为广大骨折患者带来了福音。
患者许大娘,67岁,因意外车祸导致尺骨粉碎性骨折。传统的切开复位内固定手术创伤大、出血多,术后恢复时间长,且容易对骨折端血运造成破坏,影响骨折愈合。
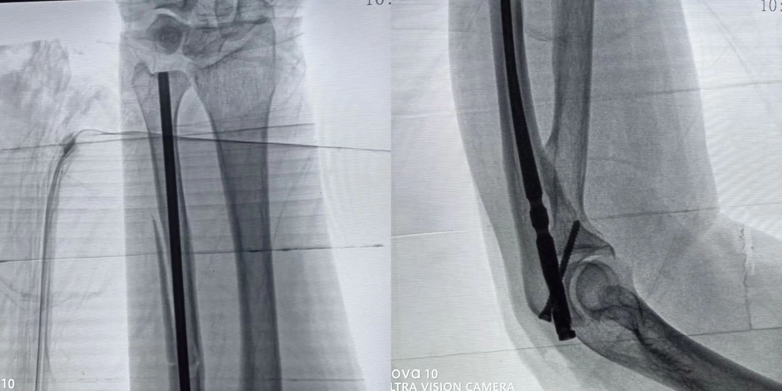
为了最大程度减少手术创伤,促进患者快速康复,骨三科团队经过充分的术前讨论和评估,决定为患者实施闭合复位经皮髓内钉内固定术。
手术在孙杰院长的指导下,由骨三科团队默契配合,精准操作,仅通过几个小切口,便成功完成骨折复位和髓内钉固定。 手术创伤小、出血少、恢复快、疼痛轻,术后患者恢复良好,对手术效果非常满意。


术 前


术 后


